Amiral Park
Docteurs David Couchat, Julia Gaillard et Océane Toga - Marseille 10
+33 4 91 77 91 21
Amiral Park 6 rue Jean-Baptiste Reboul, 13010 MARSEILLE

Blog - Page 4

Utilisation du fil dentaire

Utilisation du fil dentaire

Conseils pratiques pour une bonne hygiène bucco-dentaire avec un appareil

Conseils pratiques pour une bonne hygiène bucco-dentaire avec un appareil

Frénectomie labiale

Frénectomie labiale

L’éruption des dents de lait et des dents définitives

L’éruption des dents de lait et des dents définitives

L’éruption des dents est variable d’un enfant à l’autre. La première dent de lait sort vers 6 mois et la dernière tombe vers 13 ans. Un suivi régulier permettra de surveiller leur bon développement et l’apparition des dents définitives.

La salive : un protecteur naturel de notre bouche

La salive : un protecteur naturel de notre bouche

La salive est notre meilleure alliée contre la carie dentaire et l’infection des muqueuses orales.

Pourquoi l'excès de sucre est-il mauvais pour les dents ?

Pourquoi l'excès de sucre est-il mauvais pour les dents ?

Le sucre est source de gros dégâts pour les dents. Il peut les détruire et parfois faire souffrir d’une bonne « rage de dent ».

L'usure dentaire

L'usure dentaire

Certaines personnes paraissent avoir subi une forme d’usure prématurée des dents. Quelles en sont les causes et comment y remédier ?

Les grincements de dents : le bruxisme

Les grincements de dents : le bruxisme

Le bruxisme est l’action de grincer des dents, particulièrement durant le sommeil, en produisant des bruits de frottements dentaires.

Les concentrations en fluor des eaux minérales

Les concentrations en fluor des eaux minérales

La quantité de fluor présente dans les eaux minérales est très variable et il est important pour vous de bien la connaître.

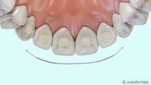
Fil de contention

Fil de contention

Vrai ou faux ?

Vrai ou faux ?

Testez vos connaissances, et trouvez les réponses aux questions sur votre santé bucco-dentaire.

Calendrier des soins de la future maman

Calendrier des soins de la future maman

Vous êtes enceinte et vous vous demandez si vous pouvez effectuer des soins dentaires ? Nos réponses à vos questions.

Affichage des articles 37-48 sur 90